Subscribe Now
Trending News

مقالات

انتخاب سردبیر

دندانپزشکی: دندان عقل 

دندانپزشکی: دندان عقل

دندان عقل چیست؟

دندان عقل به سومین دندان آسیای بزرگ اطلاق می گردد. این دندان کمی دیرتر از دندان‌های دیگر و در حدود سنین ۱۶ تا ۲۵ سالگی‌ می‌روید. از آنجا که این دندان در سنینی رویش پیدا می کند که فرد وارد مرحله بزرگسالی می گردد، به آن دندان عقل (wisdom tooth) می گویند. دندان عقل یکی از نمونه های تکامل بشر در طول هزاران سال است. انسان های اولیه استخوان بندی و اسکلت درشت تری داشته اند.

بررسی جمجمه انسان های اولیه نشان می دهد که آنها سه دندان آسیای بزرگ در هر نیم فک (مجموعا ۱۲ عدد) داشته اند که از همه آنها برای جویدن استفاده می کرده اند. دلیل این امر هم به احتمال قوی این بوده است که غذای ایشان اغلب از مواد خام و سخت تشکیل می شده و آنها برای جویدن این غذاها به تعداد دندان های آسیای بیشتر و آرواره های قوی تری نیاز داشته اند.

به مرور زمان با بهبود شرایط زندگی بشر و نرم ترشدن رژیم غذایی. به مرور زمان با بهبود شرایط زندگی بشر و نرم ترشدن رژیم غذایی او، نیاز به آرواره های قوی تر و دندان های بیشتر از بین رفته و در نتیجه فک انسان در کنار سایر استخوان ها به مرور کوچک تر شده است.

بنابراین آخرین دندان آسیای بزرگ به تدریج فضای کافی برای رویش را از دست داده و در نتیجه شیوع نهفتگی در این دندان افزایش یافته است. به نظر می رسد که در انسان معاصر، نهفتگی این دندان شایع تر گردیده و در واقع سومین دندان آسیای بزرگ در هر نیم فک به تدریج در حال حذف شدن از خزانه ژنی انسان می باشد.

۶ مورد شایع از اختلالات خوردن و علائم آنها
بیشتر بخوانید

آیا همواره باید دندان عقل را کشید؟

تا زمانی که فضای کافی برای رویش دندان عقل موجود است، ضرورتی برای کشیدن آن وجود ندارد، مگر این که به دلایل ارتودنسی وبسته به نظر متخصص آن (جهت ایجاد فضای بیشتر در قسمتهای عقبی فک) نیاز به کشیدن دندان عقل باشد.

گاهی گفته میشود که نکشیدن دندان عقل باعث بروز بی نظمی در ردیف دندانها می شود. در جواب باید گفت که هیچ تحقیق علمی این موضوع را تایید نکرده است و بروز بی نظمی در ردیف دندانها، معمولا ناشی از رشد تدریجی استخوان فک است که تا آخر عمر به صورت پیوسته ادامه می یابد.

چنانچه دندان عقل به شکل نهفته و یا نیمه ‌نهفته در استخوان فک باقی بماند، احتمال فشار به دندان‌های‌ مجاور بیشتر شده و باعث بروز دردهایی در ناحیه مفصل فک، گوش، چشم و سایر نقاط سر و صورت می‌ گردد که برای مقابله با بروز چنین دردهایی بهتر است که دندان‌ های عقل توسط دندانپزشک کشیده شوند.

با اینکه کارایی دندان عقل از لحاظ جویدن یا زیبایی حائز اهمیت نمی باشد، امروزه با پیشرفت علم و با به کارگیری فناوری های نوین میتوان از این دندانها به عنوان دندان ذخیره در هنگام از دست دادن سایر دندانها (اتوایمپلنت کردن یا جایگذاری یک دندان به جای دندان دیگر) و یا حتی منبعی ارزشمند جهت برداشت سلولهای بنیادی استفاده کرد.

از کجا بفهمیم که نیاز به کشیدن دندان عقل داریم؟

باید توجه داشت که اگر دندان عقل قصد رویش و بیرون آمدن از لثه را داشته باشد، این اتفاق معمولا پیش ازبیست سالگی رخ می دهد. بنابراین اگر تا این سن دندان عقل شما درنیامده است، بهتر است جهت معاینه به دندانپزشکتان مراجعه نمایید.

سبک زندگی صحیح برای افراد با مزاج گرم و تر (دموی)
بیشتر بخوانید

از سوی دیگر، چنانچه مسیر رشد دندان عقل به دلایلی تغییر کرده و به طور افقی رشد کند، باعث صدمه زدن به ریشه دندان مجاور می شود. برای جلوگیری از این پیشامد، نیاز به عکس رادیوگرافی از دندان عقل می باشد تا از رویش صحیح آن اطمینان حاصل گردد.

پیشنهاد می شود دندان عقل، در حدود سن بیست سالگی کشیده شود و این عمل در سنین بالاتر از چهل سالگی توصیه نمی گردد.

کشیدن دندان‌های عقل در سنین بالاتر ممکن است مشکلات زیر را به همراه داشته باشد:

با افزایش سن، ریشه‌ها قطورتر گردیده (اصطلاحا فک جوش شدن دندان عقل) وهم چنین انعطاف پذیری استخوان کمتر شده و ممکن است کشیدن دندان سخت‌ تر گردد. التیام محل کشیدن دندان و پرشدن فضای خالی دندان عقل در سنین بالا سخت تر بوده و یا بیشتر طول می کشد.

همچنین احتمال شکسته شدن استخوان فک در افراد پیر در حین جراحی درآوردن دندان عقل وجود دارد، و این افراد به دلیل شرایط سنی و یا درمان‌های پزشکی (مانند مصرف داروهای قلبی – ریوی) از تحمل کمتری نسبت به افراد جوان برخوردار می باشند.

موارد منع کشیدن دندان عقل چیست؟

سن بالا (معمولا بیش از ۴۰ سال)

اگر احتمال آسیب به بافت های مجاورمثل عصب دندانی تحتانی وجود داشته باشد.

مدفون شدن کامل دندان عقل در استخوان به طوری که هیچ آسیبی به محیط اطراف نزند، که البته بهتر است هر یک یا دو سال یک بار شرایط دندان بازبینی شود.

افرادی که دچار نقص یا ضعف در سیستم ایمنی می باشند و یا بیماری های قلبی و عروقی و انعقادی دارند.

ارتودنسی دیمون (براکت خود لیگاچور )
بیشتر بخوانید

به هر حال باید توجه داشت که بهتر است تصمیم نهایی در همه این موارد با نظر دندانپزشک گرفته شود.

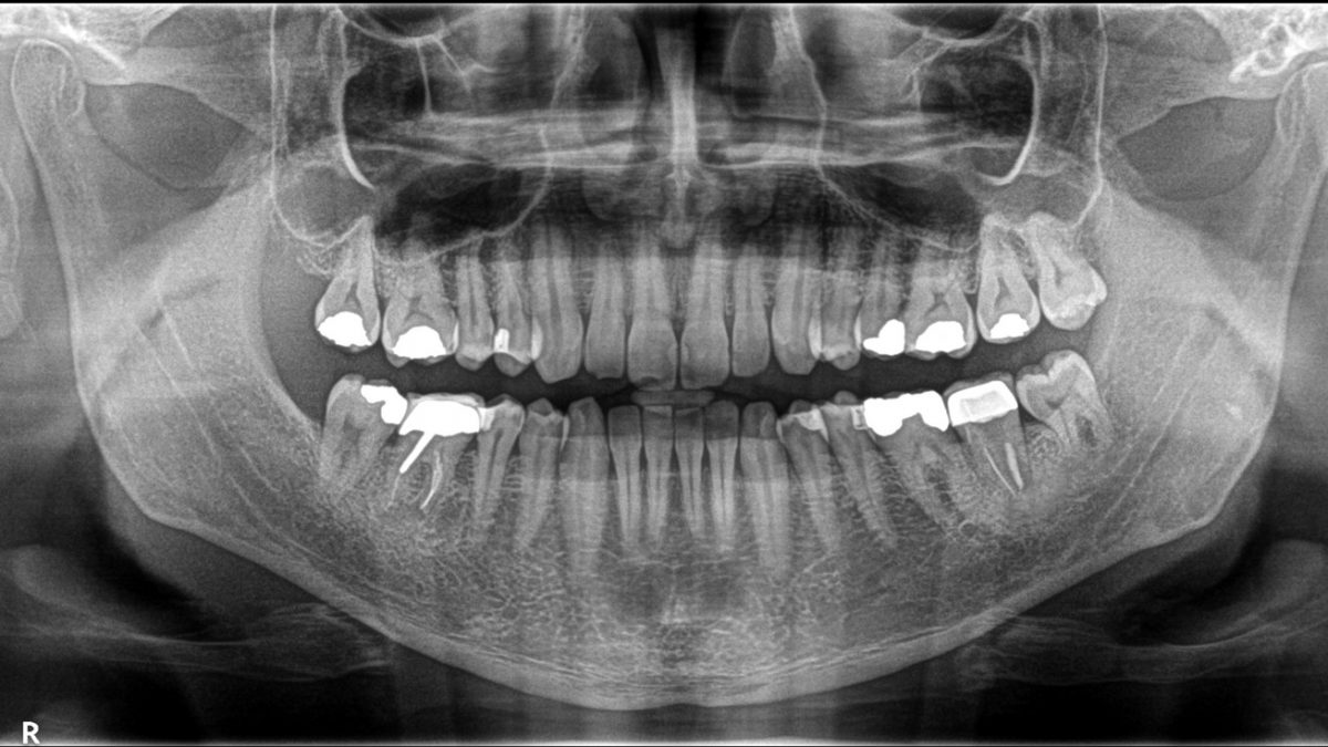
رادیوگرافی اولیه که نشان دهنده رویش کامل دندانهای عقل در سمت راست تصویر و عدم نیاز ان ها به کشیدن میباشد. در سمت چپ دندانهای عقل به علت کمبود فضا و عدم رویش کامل قبلا کشیده شده بودند.

منبع مطلب

مطالب مرتبط

دیدگاهتان را بنویسید

بخش های ضروری علامت گذاری شده اند *