برای صاف و مرتب کردن دندان ها براکت ارتودنسی استفاده میشود. رایج ترین نوع براکت ارتودنسی، براکت فلزی (metal brace) است که در آن دندانها سیم کشی می شوند و سیم ارتودنسی آنها را به جایگاه درست هدایت میکند.
اما بسیاری از مردم دوست ندارند هنگامی که لبخند میزنند، سیم و قطعه های فلزی چسبیده به دندانهایشان نمایان شود. برای این دسته از افراد روشهای دیگر ارتودنسی استفاده میشود که به ارتودنسی نامرئی شهرت دارند.
ارتودنسی نامرئی چیست
ارتودنسی نامرئی به روش هایی از درمان ارتودنسی گفته میشود که در آنها براکت ارتودنسی خیلی به چشم نمیآید و دیده نمی شود. روشهای ارتودنسی نامرئی عبارتند از براکت سرامیکی، الاینر شفاف و براکت پشت دندانی یا لینگوال.
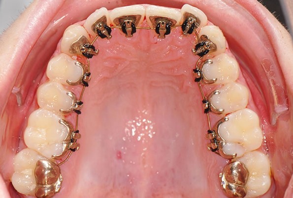
براکت پشت دندانی چیست
براکت پشت دندانی نوعی براکت فلزی است که به جای این که به جلوی دندانها نصب شود، به سطحی از دندانها چسبانده میشود که رو به زبان قرار دارند. بنابراین در جلوی دهان براکت به پشت دندان ها چسبانده میشود. از این رو براکت پشت دندانی اصلا دیده نمیشود و کاملاً نامرئی است.

مزایای براکت پشت دندانی چیست؟
اولین و مهمترین مزیت آن نامرئی بودن است. برای بسیاری از افرادی که دیده نشدن براکت ارتودنسی برایشان خیلی اهمیت دارد، براکت پشت دندانی راه حل خوبی است چون اصلا در معرض دید قرار ندارد.
براکت پشت دندانی از آنجایی که همان سیستم براکت فلزی معمولی را دارد، همان کارایی را هم دارد. بنابراین براکت پشت دندانی قابلیت درمان مشکلات پیچیده ای را که براکت معمولی میتواند انجام دهد، دارد.
معایب براکت پشت دندانی چیست؟
این سیستم براکت باید به سطح پشتی دندان ها یعنی سطحی که در تماس با زبان قرار دارد متصل شود. بنابراین تماس زبان با دندان ها تحت تأثیر قرار می گیرد. از این رو ممکن است تا مدتی در تلفظ حروف و صداها تغییراتی ایجاد شود. اما با تمرین می توانید هر چه سریعتر یاد بگیرید همانند گذشته صحبت کنید.
براکت پشت دندانی به سطحی چسبانده می شود که در معرض دید نیست. پس فرایند نصب کردن، تنظیم کردن و ترمیم کردن آن برای متخصص ارتودنسی زمانبر و دشوار است. از طرفی باید سیستم براکت برای هر فرد به صورت اختصاصی ساخته شود چون وضعیت سطح پشتی دندانها در افراد مختلف متفاوت است و باید براکت با آن تنظیم شود. از این رو هزینه نهایی براکت پشت دندانی بیشتر از براکت معمولی تمام میشود.
بهداشت دهان در دوران درمان ارتودنسی اهمیت بسزایی دارد و باید دندان هایتان را خوب تمیز کنید و براکت را هم عاری از جرم و پلاک نگه دارید اما این کار با براکت پشت دندانی کمی سخت تر است. با این حال ابزارهای زیادی برای کمک به حفظ بهداشت دهان به خصوص ویژه دوران درمان ارتودنسی طراحی شده اند که به شما در این امر مهم، کمک میکنند.
مراقبت از براکت ارتودنسی
حتماً مرتباً پس از هر بار غذا خوردن دندان ها و براکت را خوب تمیز کنید.
هر روز نخ دندان بکشید.
برای پیشگیری از پوسیدگی دندان از دهانشویه فلوراید دار و عفونی کننده استفاده کنید.
طبق برنامه زمانی که دکتر برایتان مشخص کرده است به او مراجعه کنید.
دستورالعمل بایدها و نبایدهای دوران درمان ارتودنسی را جدی بگیریدچرا که هر چه کمتر براکت و دندانها آسیب ببیند، وقفه کمتری در فرایند درمان ایجاد میشود و درمان به موقع پیش میرود.
هر سوال یا مشکلی که دارید با متخصص ارتودنسی تماس بگیرید.
